Lesser Trochanter Avulsion Fracture Pediatric : PPT - Sports Injuries in the Pediatric Athlete ... / Patients with unstable trochanteric fractures and displaced lesser trochanter who received intramedullary fixation were retrospectively reviewed in this study.

Lesser Trochanter Avulsion Fracture Pediatric : PPT - Sports Injuries in the Pediatric Athlete ... / Patients with unstable trochanteric fractures and displaced lesser trochanter who received intramedullary fixation were retrospectively reviewed in this study.. The lesser trochanter of the femur is a conical eminence, which varies in size in different species. This injury is a result of a sudden forceful contraction of the iliopsoas tendon. Wightman, a ballet dancer with chronic hip pain due to a lesser trochanter bony avulsion: An unusual cause of hip pain in an adolescent.}, author={e. • for isolated femoral heads greater trochanter avulsion;

There are two trochanters in the body: Most common to avulse is the ischial tuberosity followed by anterior inferior iliac spine (aiis) and the anterior superior iliac spine (asis) about equally. This can occur at the ligament by the application of forces external to the body (such as a fall or pull). The lesser trochanter of the femur is a conical eminence, which varies in size in different species. We report the case of a skeletally immature freestyle footballer who presented with avulsion fracture of the lesser trochanter.

PPT - PEDIATRIC FRACTURES PowerPoint Presentation - ID:4252031
PPT - PEDIATRIC FRACTURES PowerPoint Presentation - ID:4252031 from image2.slideserve.com
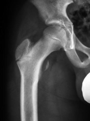
Avulsion fracture of left lesser trochanter at the insertion of the iliopsoas tendon. All lesser trochanteric avulsions can be treated nonoperatively. Avulsion fracture of lesser trochanter of the femur is a well known entity in children and adolescents 1 . Pelvic, pelvis, avulsion, fracture, athlete, hurdler, sprinter, runner, radiology. The lesser trochanter and linea aspera are posterior. Avulsion in adolescence is probably due to avulsion of the iliopsoas tendon. • for isolated femoral heads greater trochanter avulsion; Adolescent, avulsion fracture, hip pain, lesser trochanter.

The lesser trochanter is a growth region type apophysis, where is attached the illiopsoas muscle.

Intertrochanteric means between the trochanters, which are bony protrusions on the femur (thighbone). Avulsion fractures of the lesser trochanter in adolescents are rare, representing less than 1% of hip injuries in the orthopedic surgeon's practice. Lesser trochanter avulsion fracture (site of iliopsoas muscle insertion). All lesser trochanteric avulsions can be treated nonoperatively. Lesser trochanter avulsion, apophysis, groin pain. An acute avulsion causes severe functional impairment with compromised hip flexion. Implant failure occurs within the first three months. An intertrochanteric fracture occurs along a line that is located between the greater and lesser trochanters. However, its fracture or progressive radiolucency is considered a pathognomic finding in adults with malignancies 2 . This can occur at the ligament by the application of forces external to the body (such as a fall or pull). An unusual cause of hip pain in an adolescent.}, author={e. It usually occurs during vigorous sport activity. Adolescent, avulsion fracture, hip pain, lesser trochanter.

They are a result of a sudden and forceful contraction of the iliopsoas muscle. Pelvic, pelvis, avulsion, fracture, athlete, hurdler, sprinter, runner, radiology. Middle and least gluteal, internal obturator, gemellus avulsion fractures result when the fracture fragment is pulled from its parent bone by forceful contraction of a tendon or ligament. This can occur at the ligament by the application of forces external to the body (such as a fall or pull). Avulsion fracture of lesser trochanter of the femur is a well known entity in children and adolescents 1 .

Femoral greater trochanter avulsion fracture | Image ...
Femoral greater trochanter avulsion fracture | Image ... from images.radiopaedia.org
Related online courses on physioplus. The lesser trochanter and linea aspera are posterior. Avulsion fracture of left lesser trochanter at the insertion of the iliopsoas tendon. There are two trochanters in the body: I.e., lesser trochanter is displaced. Nonoperative treatment demonstrated good clinical course. The apophysis is a secondary centre of ossification contributing to avulsion fractures of the lesser trochanter, greater trochanter, and iliac crest are less common.5 although not as common as other avulsions in the. The lesser trochanter of the femur is a conical eminence, which varies in size in different species.

Pelvic, pelvis, avulsion, fracture, athlete, hurdler, sprinter, runner, radiology.

It usually occurs during vigorous sport activity. Intertrochanteric means between the trochanters, which are bony protrusions on the femur (thighbone). Lesser trochanter avulsion fracture (site of iliopsoas muscle insertion). Young}, journal={cjem}, year={2013}, volume={15 2}, pages={. An unusual cause of hip pain in an adolescent.}, author={e. This new sporting activity involves kicking. An avulsion fracture is a bone fracture which occurs when a fragment of bone tears away from the main mass of bone as a result of physical trauma. The lesser trochanter and linea aspera are posterior. Most common to avulse is the ischial tuberosity followed by anterior inferior iliac spine (aiis) and the anterior superior iliac spine (asis) about equally. Avulsion fractures of the lesser trochanter in adolescents are uncommon. There are two trochanters in the body: The position of the lesser trochanter close to the head of the femur is one of the defining characteristics of the prozostrodontia. This injury is a result of a sudden forceful contraction of the iliopsoas tendon.

Adolescent, avulsion fracture, hip pain, lesser trochanter. An acute avulsion causes severe functional impairment with compromised hip flexion. Patients with unstable trochanteric fractures and displaced lesser trochanter who received intramedullary fixation were retrospectively reviewed in this study. It usually occurs during vigorous sport activity. This new sporting activity involves kicking.

Pediatric Radiology
Pediatric Radiology from www.med-ed.virginia.edu
Avulsion fractures of the lesser trochanter in adolescents are rare, representing less than 1% of hip injuries in the orthopedic surgeon's practice. In this situation, reduction and fixation may need to be considered. This injury is a result of a sudden forceful contraction of the iliopsoas tendon. Lesser trochanter avulsion fracture (site of iliopsoas muscle insertion). The greater trochanter and the lesser trochanter. Case contributed by dr mark holland. An intertrochanteric fracture is a specific type of hip fracture. Avulsion in adolescence is probably due to avulsion of the iliopsoas tendon.

Avulsion fracture of lesser trochanter of the femur is a well known entity in children and adolescents 1 .

On the outside border of the bone, the greater trochanter forms a large prominence, while the lesser trochanter forms a small bump on the femur's inside. The lesser trochanter is a growth region type apophysis, where is attached the illiopsoas muscle. Uncommon as a solitary lesion and more often associated with hip. Intertrochanteric means between the trochanters, which are bony protrusions on the femur (thighbone). Fractures with a large posteromedial fragment. Hamstring most common avulsion sprinters, cheerleaders, dancers pain in buttock. The position of the lesser trochanter close to the head of the femur is one of the defining characteristics of the prozostrodontia. Avulsion fractures of the lesser trochanter in adolescents are uncommon. Avulsion fractures of the lesser trochanter in adolescents are rare, representing less than 1% of hip injuries in the orthopedic surgeon's practice. Avulsion fractures on this region are generally secondary to strenuous physical activities 1. The apophysis is a secondary centre of ossification contributing to avulsion fractures of the lesser trochanter, greater trochanter, and iliac crest are less common.5 although not as common as other avulsions in the. Related online courses on physioplus. Patients with unstable trochanteric fractures and displaced lesser trochanter who received intramedullary fixation were retrospectively reviewed in this study.

An avulsion fracture is a bone fracture which occurs when a fragment of bone tears away from the main mass of bone as a result of physical trauma lesser trochanter avulsion fracture. Nonoperative treatment demonstrated good clinical course.

Comments